티스토리 뷰
안녕하세요. 오늘은 잇몸 부었을 때 원인 해결방법과 더 나아가 잇몸이 내려앉았을 때 대처법에 대해 알아보려 합니다. 치아가 건강한 사람들을 어른들은 흔히들 복을 타고났다고 말합니다. 반면 잇몸이 부었다는 것은 치아 혹은 잇몸 자체에 문제가 있다는 것으로 판단할 수 있습니다.
더불어 잇몸이 부은 상황에서 통증까지 찾아온다면 그것은 아마 최악일 겁니다. 특히 양치를 할 때 반복적으로 잦은 출혈이 난다거나 항상 부어있는 경우에는 상황에 맞는 대처를 해줌으로써 염증 예방을 해야 합니다.
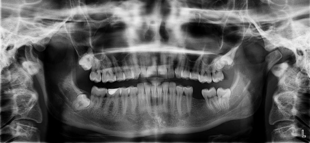
이번 포스팅은 사랑니와 어금니로 인한 잇몸이 부었을 때의 원인과 대처 방법 그리고 심할 경우에는 내려앉음 치료를 해야 하는지에 대해서 자세히 알아보도록 하겠습니다.

잇몸 부었을 때 원인 및 해결법
잇몸 붓는 원인



충치
잇몸이 붓거나 염증이 생기는 이유는 평소 부실한 위생 습관과 충치에 의한 경우로 알려져 있으며 현대인의 대부분은 이와 같은 질환을 많이 겪습니다. 특히 관리를 제대로 해주지 못하였다면 잇몸에 통증이 나타난다거나 입에서 구취가 날 수 있고 평소 욱신거리거나 찌르는 듯한 통증이 반복적으로 지속되면서 잇몸에 부음 증상이 나타나 있다면 그것은 충치를 의심해 봐야 합니다.
충지가 생기고 나서 안쪽 깊숙이 퍼지게 되면 신경이 노출됨과 동시에 자연스레 잇몸에 통증을 주게 되고 더욱이 치아 뿌리에 고름을 만들어 악화시킨 다음 심각한 염증으로 발생할 수 있습니다. 따라서 상황에 따른 철저한 대처를 해주는 것이 좋습니다.



치주 질환
치주 질환은 잇몸 부음에 상당한 영향을 끼치는 2대 질환으로 알려져 있습니다. 치주 질환의 원인은 치구 내의 세균으로 인해서 감염이 되기도 하지만 30대 이상을 기준으로 흡연, 스트레스, 운동 부족, 당뇨병 등에 의한 면역력 저하 문제도 크게 관여하고 있습니다.
초기에는 치주 질환으로 인한 염증이 발생하여도 잇몸이 부었다고 하나 통증이 없어 인지하지 못하는 경우가 대개 있으며 이를 닦을 때 잇몸에서 피가 나는 경우도 종종 볼 수 있습니다.
특히 잇몸병으로 불리는 치주 질환은 치아 뿌리와 잇몸뼈 등에 염증이 생기는 병으로써 이는 치은염과 치주염 질환을 포함합니다. 대표적으로 사랑니가 있습니다. 치주 질환과 같은 염증 질환이 매우 심할 경우 치아를 전부 발치해야 될 수도 있는 상황이 올 수도 있기 때문에 평소 엄격한 관리를 통해 예방을 해주는 것은 필수적입니다.



과도한 스트레스
잇몸은 우리가 생각한 것보다 매우 민감한 조직으로 구성되어 있습니다. 치아는 스트레스와 피로가 쌓이면 자연스레 몸의 면역력이 떨어지고 코르티솔이라는 호르몬의 수치가 증가합니다.
코르티솔 수치가 증가하게 되면 자연스럽게 잇몸에 세균이 침투하면서 붓기가 생기게 되고 혈압과 포도당 수치가 높아져 치아 질환으로 유발될 수 있습니다. 참고로 코르티솔은 급성 스트레스에 반응하는 물질을 말합니다.
잇몸 부었을 때 해결법 4가지
사실 잇몸이 부었을 때 일시적인 경과를 지켜본 후 상황에 따라 바로 병원에 가야 하는 것이 맞지만 대게는 이를 방치하여 통증이 극심해질 때 병원을 찾아가게 됩니다.
따라서 잇몸이 붓거나 통증이 찾아왔을 때는 방치하지 말고 다음과 같은 방법들을 통하여 잇몸이 부었을 때 통증을 완화시켜 도움을 얻을 수 있습니다.


소금물 가글
소금물로 가글을 함으로써 세균을 예방하는 방법은 치약이 없던 시절부터 현재까지 쓰이고 있는 오래된 민간요법입니다.
소금물로 가글을 하게 되면 치아 건강은 물론 잇몸과 호흡기 등의 전반적인 구강건강에 도움을 얻을 수 있으며 소금물로 가글을 할 때는 편도까지 가글이 된다는 느낌으로 목을 열어주어 가글을 해주어야 편도염까지 같이 예방할 수 있습니다.


블루베리 주스
블루베리에는 구강 건강을 개선해 줄 수 있는 강력한 항산화 성분과 다양한 혼합물들이 들어있어 세균들이 증식되는 것을 억제할 수 있습니다.
또한 블루베리에 함유되어 있는 영양소들은 침의 산도를 유지함으로써 세균의 성장을 억제하는 데 도움을 준다고 알려져 있습니다. 블루베리 주스 섭취방법은 매일 2회씩 반컵 정도를 아침과 자기 전에 마셔주는 것이 좋습니다.
사과
사과에는 수분과 풍부한 항산화 물질이 들어있어 입안에 남아있는 음식물 찌꺼기는 물론 세균까지 없애주는 데 많은 도움을 가져다줍니다. 사과에 함유되어 있는 항산화 성분이 잇몸 부음 증상을 가라앉혀줄 뿐만 아니라 입 냄새 중화에도 도움을 주어 매일 식사 후 4분의 1 정도를 섭취해 주시는 것이 좋습니다.
하지만 늦은 저녁에 섭취를 할 경우 사과의 항산화 성분으로 인해 소화장애를 유발할 수 있으니 가급적 늦은 저녁에는 섭취하지 않는 것이 좋습니다.


진통제
통증이 너무 극심할 경우 진통제를 먹는 방법입니다. 잇몸 부음 증상은 염증으로 인한 통증일 가능성도 배제할 수 없기 때문에 소염효과가 강한 진통제를 통하여 잇몸 통증을 완화하는 것이 좋습니다.
우리가 흔히 약국에서 사 먹는 진통제는 비스테로이드성 소염진통제라고 하는 약입니다. 이는 보통 잇몸이 부었을 때 약사들이 건네주는 소염 진통제입니다. 만일 사정 상 약국에 가지 못하는 일이 생겼을 경우에는 근처 편의점이나 마트에서 타이레놀을 구입한 뒤 2정을 섭취하게 되면 통증을 완화하는 데 도움이 됩니다.
잇몸이 내려앉는 이유
치석
잇몸의 내려앉음 증상이 생기는 대표적인 원인은 치석으로 뽑을 수 있습니다. 치석이란 치아 위에 쌓여 있는 물질을 말하며, 이 물질들은 치태가 계속 자리를 잡으면서 치석으로 생성됩니다.
치석이 생성되는 경우 치아의 표면이 거칠어지면서 거칠어진 표면 위로 치태가 지속적으로 쌓여 잇몸 상태가 나빠지면서 출혈이 심해질 수 있습니다. 치태가 지속적으로 악화되는 경우 치아조직이 파괴되는 것은 물론 풍치 증상으로까지 발전될 수 있기 때문에 병원에 내방하여 치료를 받는 것이 좋습니다. 참고로 풍치란 잇몸뼈를 녹여 잇몸이 점점 내려가게 되는 질환을 말합니다.


한쪽으로만 씹는 습관
잇몸의 내려앉음 원인은 한쪽으로만 씹는 습관이 원인이 될 수 있습니다. 일반적으로 사람들은 음식물을 섭취할 때 한쪽으로만 씹는 경향이 치우쳐져 있습니다. 한쪽 부위로 지속적으로 오랫동안 씹게 되면 잇몸과 치아에 자극을 주면서 치아가 서서히 내려앉을 수 있습니다. 따라서 본인이 한쪽으로 씹는 습관을 가지고 있다면, 양방향을 모두 사용하여 균형 있게 씹는 것이 좋습니다.
잇몸 내려앉음 예방법
올바른 칫솔질
잇몸 내려앉음 예방 방법의 첫 번째는 올바른 칫솔질입니다. 본인은 꾸준히 잘해주고 있다고 생각할 수 있지만 잘못된 칫솔질로 인해 구강질환에 시달리는 사람들이 태반입니다. 따라서 시간이 없다거나 귀찮아서 관리를 제대로 해주지 못하고 있다면 치아건강을 위해서 3분 이상의 올바른 칫솔 습관을 들여 예방해 주시는 것이 좋습니다.


스케일링
잇몸 내려앉음 예방 방법의 두 번째는 장기적인 스케일링을 통한 예방법입니다. 스케일링은 다양한 염증 질환으로부터 예방하는 것에 효과를 주기도 하지만 각종 질환을 유발할 수 있는 치석을 제거함으로써 치료에도 도움을 줄 수 있습니다. 따라서 최소 1년에 1회 정도는 스케일링을 받음으로써 예방 차원의 목적을 두시는 것을 권장드립니다.
잇몸 내려앉음 치료

한번 내려앉은 치아 상태를 다시 위로 올리는 것은 무리가 있으며 현상태를 유지하는 것이 최선이며 치료를 위해서는 병원에 내방하여 전문의를 통한 치료를 받는 것이 가장 현명한 방법입니다. 하지만 병원에 갈 시간조차 없다면 잇몸 내려앉음 치료방법은 정기적인 스케일링을 통해 충분히 좋아질 수 있습니다.
스케일링의 경우 개인당 1년에 1회 적용되어 있는 보험으로 저렴하게 받을 수 있으며 최소 1년에 한 번씩은 꼭 치과에 내원하여 치석을 제거하는 것을 권장드립니다.


증상이 매우 심할 때는 스케일링뿐만 아니라 잇몸치료 또한 같이 받는 것이 좋으며 방치할 경우 구강질병과 같은 질환이 발생할 수 있고 이는 입에서 구취 및 악취를 풍겨 상대방에게 불쾌감을 안길 수 있기에 평소 꾸준한 관리를 해주는 것이 중요합니다.
건강 관련 Best 인기글 5
시서스 효능 및 부작용 완벽 정리
최근 건강이 중요해지는 만큼 건강 보조제를 많이 드시는데요. 그래서 시서스 가루를 찾는 분이 많아졌습니다. 오늘은 시서스 효능부터 부작용 그리고 파는 곳까지 모두 알려드리려 합니다. 이�
issue.13eol.com
'건강' 카테고리의 다른 글
| 뉴질랜드초록입홍합 완벽 정리 (0) | 2020.10.05 |
|---|---|
| 모링가 효능 완벽 정리 (0) | 2020.09.28 |
| 포스파티딜 세린 추천 (0) | 2020.09.27 |
| 그린 프로폴리스 효능 정리 (0) | 2020.09.27 |
| 코코넨네 밴드 부작용 (0) | 2020.09.26 |