티스토리 뷰
안녕하세요. 누구나 한 번쯤 잇몸 때문에 아파했을 적 있으실 텐데요. 그래서 오늘은 어금니 잇몸 부었을때 해결방법에 대해 알아보려고 합니다. 추가로 원인 그리고 붓기를 가라앉게 해주는 방법까지 모두 알아보도록 하겠습니다.
만약 주변에 잇몸이 자주 붓는 사람이 있다면 이번 포스팅 같이 공유하셔서 도움주길 바랍니다. 글의 순서는 아래와 같이 진행됩니다.

잇몸 부었을때 해결방법
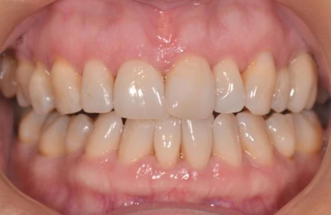
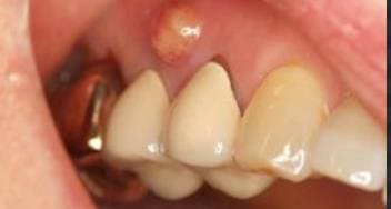
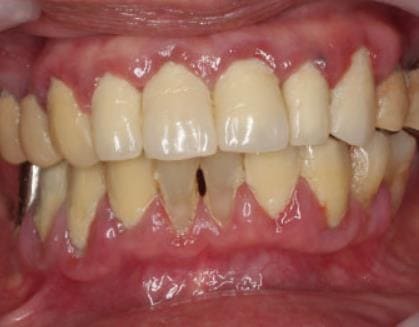
잇몸 부었을때 증상
잇몸을 부었을 때는 초기에 출혈이 발생하는 경우가 많습니다. 이때 정도가 심하기보다는 살짝 피맛이 느껴질 정도인데요. 만약 이것을 방치했을 경우 상처 안에 세균, 바이러스가 침투할 가능성이 있어 붓기가 더욱 심해질 수 있습니다.



그렇기 때문에 염증이 발생했고 그것이 인지될 정도로 심하다면 반드시 적절한 치료를 받는 것이 중요합니다.
그렇다면 잇몸이 붓는 이유는 무엇일까요. 지금부터 자세히 살펴보겠습니다.
어금니 잇몸 붓는 이유
과도한 스트레스

모든 질병의 원인이 스트레스인 것처럼 이 또한 스트레스를 심하게 받았을 때 염증이 생길 수 있습니다. 직접적인 원인이 아니라 스트레스를 받음으로써 면역력이 약해지고 이것이 잇몸으로까지 영향을 미쳐서 잇몸 질환이 발생하는 것입니다.
정신적인 부분이 아니라 신체적으로도 피로가 심하게 쌓였을 때도 면역력이 약해 침투하는 세균을 제때 제거하지 못하게 되어 구강에 문제가 생길 수 있습니다.
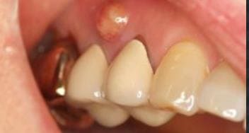
사랑니 발치



인위적으로 치아를 제거하다 보니 사랑니 근처에 있는 어금니 잇몸이 영향을 받을 수 밖에 없습니다. 그래서 사랑니를 빼는 사람 대부분이 잇몸이 퉁퉁 붓게 됩니다.
이것은 염증이 생기는 치주염, 치은염과 다른 개념으로 적당한 치료가 필요한 것이 아니라 시간이 흐르면 자연스럽게 개선되기 때문에 적당한 찜질을 제때 하는 것이 중요합니다. 보통 고통이 목까지 이어지는 경우가 있는데 이럴 경우 아래 포스팅에 완벽히 정리했으니 참고하시길 바랍니다.
사랑니 목통증 완벽 정리
아마 사랑니 하나쯤 뽑아 보셨을 텐데요. 그때 목 통증을 느꼈던 경험 있으실 겁니다. 그래서 오늘은 사랑니 목통증 원인, 증상, 해결책 등 관련 내용을 완벽 정리해보려 합니다. 굳이 사랑니 뿐
issue.13eol.com
그렇다면 어금니에 잇몸이 부었을 때 어떻게 해야 할까요? 아래 내용을 참고하세요.
어금니 잇몸 부었을때 해결방법
가장 확실한 방법은 치과에서 진료를 받는 것입니다. 현재 생각하는 원인과 최근 행태에 대해 말해준다면 그것을 기반에 정확한 치료를 해줄 것입니다. 하지만 치과에 가는 것은 모두에게 두려운 일인 만큼 사소한 변화로 개선할 수 있는 방법에 대해 알려드리겠습니다.
일반 의약품 구매

아마 한번쯤 들었을 제품들 '이가탄, 인사돌, 덴큐'가 있는데요. 해당 제품은 약국에서 쉽게 구매할 수 있는데요. 잇몸 통증은 물론 출혈을 줄여주는데 큰 도움을 줍니다. 그렇기에 고통이 심하다면 약국에 방문하여 해당 약들을 구매하는 것도 좋은 해결방법입니다.
치약 변경



최근에는 치아 뿐 아니라 잇몸 건강에 중요성이 널리 알려지면서 이와 관련된 기능성 치약들이 많이 등장하였습니다. 이 치약들은 유해성분이 적고 치석 제거에 효과적이며 잇몸에 세균과 바이어스 침투를 미리 예방해주는 탁월한 역할을 수행하기에 치약을 바꾸는 것도 추천드립니다.
양파, 사과 섭취


잇몸이 부었다면 아침마다 사과를 먹어주면 좋습니다. 사과에는 항산화 물질이 많이 포함돼 있어 항바이러스 역할을 해주게 됩니다. 양파 또한 입 안을 소독해주는 효과가 있기 때문에 잇몸이 건강하지 않다면 양파와 사과를 많이 드시는 것을 추천드립니다.
지금까지 잇몸이 부었을 때 증상, 원인, 해결방법에 대해 알아봤습니다. 이외에도 치과에 관한 자세한 정보를 얻고 싶다면 대한치과의사협회 홈페이지를 방문하셔서 내용을 살펴보면 많은 도움이 되실 것입니다. 다음에도 새로운 내용으로 찾아오겠습니다.
'건강' 카테고리의 다른 글
| 성장판 자가진단 완벽정리 (0) | 2020.11.27 |
|---|---|
| 오른쪽 옆구리 통증 해결방법 소개 (0) | 2020.11.27 |
| 등드름 없애는 법 소개 (0) | 2020.11.19 |
| 새싹보리 먹는법 및 효능 소개 (0) | 2020.11.17 |
| 양파즙 효능 완벽 소개 (0) | 2020.11.16 |